
Tooth Infection Spreading? Treatments, When to See a Doctor
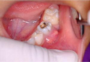
Looking for information on tooth infection spreading faster than you thought? Our article covers the treatments and when to see a doctor. A tooth infection

Looking for information on tooth infection spreading faster than you thought? Our article covers the treatments and when to see a doctor. A tooth infection

Overbite is one of the most prevalent dental disorders treated with orthodontics. It is characterized by an excessive overlap of the upper and lower teeth.

Braces are a type of orthodontic treatment that orthodontists use to help correct overcrowded or crooked teeth. Braces can also help correct an overbite. People who are getting braces soon or are considering them may wonder whether they hurt.
Ready to take the next step toward your dream smile? Contact our friendly team at Brownstone Dental to schedule a consultation. We will be delighted to meet you, discuss your smile goals, and create a customized treatment plan tailored to your needs and preferences.
Posted on Jose SanchezJuly 7, 2023Trustindex verifies that the original source of the review is Google. Jaz cool she know what she doin . Good customer servicePosted on AMG DavoMay 25, 2023Trustindex verifies that the original source of the review is Google. Highly Recommend Very Nice An Professional Great Staff !Posted on The Johnson FamilyMay 2, 2023Trustindex verifies that the original source of the review is Google. I went in for emergency root canal, they took care of it no problem. I didn’t feel any pain and if i did Dr.Faral made sure to take care of it. Highly Recommended & this is now my dentist office.Posted on Shametria SMITHFebruary 1, 2023Trustindex verifies that the original source of the review is Google. Ms.Malik was very kind and very helpful with assisting me during my extraction she is very patient, loving, and kind! I definitely love the attitude she has. Very sweet and has a heart of gold. And Dr. Farah was amazing! She pulled my tooth and I didn’t feel anything! Definitely recommend you guys to come get your dental needs here!Posted on Cokeywife LewisNovember 29, 2022Trustindex verifies that the original source of the review is Google. Dr. Farrah and ms Malik did a great job I had so much work needed. They 1st told me prices then ask me what services I wanted that day. And they kept me numb comfortable and happy. I truly will return to finish teeth cleaning and other work.Posted on NeishNovember 3, 2022Trustindex verifies that the original source of the review is Google. Dr. Farah is the BOMB! So honest and thorough…she is very attentive! Dr. Farah took care of all of my needs and assured I was knowledgeable about every procedure she was performing. She understood what I was self conscious about and made sure we addressed that issue first. Malik is AMAZING as well, she really made sure I was comfortable and the polishing she performed was out of this world, she’ll even answer your phone calls while you are getting your procedure 😉!!!!! I definitely recommend Brownstone Dental, TOP notch customer service and the results are TOP notch as well! **Don't forget to speak with Dr. Shere too, he’s so cool and straightforward. Client for life!!